AbcMed

Derrame pleural - conceito, causas, características clínicas, diagnóstico e tratamento

Wednesday, April 14, 2021
Avalie este artigo
Derrame pleural - conceito, causas, características clínicas, diagnóstico e tratamento

O que é derrame pleural?

Os pulmões são revestidos por uma membrana chamada pleura, constituída por duas lâminas: uma aderida à parede do tórax, chamada pleura parietal, e outra, aderida aos pulmões, chamada pleura visceral. Entre as duas, existe uma camada muito fina de líquido, que facilita o deslizamento suave dos pulmões dentro da caixa torácica quando eles se enchem e se esvaziam de ar.

O derrame pleural, também chamado popularmente de “água na pleura” ou "água no pulmão" - termos que se popularizaram, mas que geram grande confusão, já que se referem no popular tanto à presença de água na pleura quanto à presença de água no pulmão - é caracterizado pelo acúmulo excessivo de líquido no espaço entre essas duas lâminas. Portanto, deve-se ter o cuidado de não o confundir com a chamada “água no pulmão” que se refere à condição caracterizada pelo acúmulo de líquido dentro do pulmão (edema pulmonar), e não no espaço entre as pleuras.

O derrame pleural não é uma doença em si, mas uma manifestação comum de várias doenças. Sendo assim, uma vez diagnosticada a presença de derrame pleural, o próximo passo é investigar a sua causa.

Quais são as causas do derrame pleural?

As causas mais comuns são a falta de proteínas que ajudam a manter a água dentro dos vasos sanguíneos e a obstrução dos canais de escoamento do líquido pleural. Algumas enfermidades, como câncer, infecções, sangramentos, lúpus, doenças cardíacas, renais ou hepáticas e embolia pulmonar são também causas possíveis de derrame pleural.

Um derrame pleural também pode ser agravado por um pneumotórax (acúmulo de ar no espaço pleural), levando a um hidropneumotórax.

Leia mais sobre "Falta de ar", "Empiema pleural" e "Toracocentese".

Qual é o substrato fisiológico do derrame pleural?

O volume normal de líquido dentro da cavidade pleural (espaço entre as duas camadas de pleura) é de aproximadamente 0,2 ml por kg de peso do indivíduo. A pleura é altamente vascularizada e o seu líquido contido na cavidade pleural é constantemente renovado.

Os pequeniníssimos vasos sanguíneos e linfáticos que irrigam a pleura parietal são os responsáveis por secretar o líquido pleural, que é absorvido pelos capilares existentes na pleura visceral, mantendo constante o seu volume dentro da cavidade. Quando há uma perturbação deste balanço, começa a haver retenção de líquidos no espaço pleural e o derrame então se instala.

Ademais, vários tipos diferentes de líquido podem se acumular no espaço pleural, como líquido seroso, sangue, pus ou, muito raramente, urina, cada um deles referido por uma terminologia específica, respectivamente: hidrotórax, hemotórax, empiema torácico e urotórax. Quando não especificado, o termo "derrame pleural" normalmente se refere ao acúmulo de líquido seroso.

Quais são as características clínicas do derrame pleural?

Se o derrame for de pequena monta, o paciente pode não ter sintomas. Se for moderado ou grande, ou se houver inflamação ativa, os sintomas podem incluir falta de ar, dor no peito ao respirar profundamente, febre e tosse seca. O excesso de fluido no espaço pleural pode prejudicar a inspiração, perturbando o vácuo funcional e aumentando hidrostaticamente a resistência contra a expansão pulmonar, resultando em um pulmão total ou parcialmente colapsado.

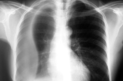
Como o médico diagnostica o derrame pleural?

O médico deverá fazer um levantamento do histórico clínico do paciente e dos sintomas que ele relata, bem como fazer um exame físico que deverá incluir auscultar seu tórax com um estetoscópio. Para confirmar o diagnóstico, precisará fazer exames de imagem, como radiografias do tórax em várias posições, tomografia computadorizada e ultrassonografia.

Além disso, o médico pode fazer uma toracocentese, procedimento pelo qual retirará um pouco do líquido pulmonar para ser examinado em laboratório. Para fazer isso, ele irá inserir uma agulha entre as costelas, até atingir o espaço pleural.

A cor do líquido em excesso pode ser o primeiro indicativo da causa. Quando é claro, há maior chance de se tratar do tipo aquoso, que pode apontar causas externas ao pulmão, como insuficiência cardíaca e cirrose. Já quando tem coloração de pus ou sangue, pode indicar infecções pulmonares, tumores e inflamações.

Como o médico trata o derrame pleural?

O médico pode precisar tratar apenas a condição médica que causou o derrame pleural como, por exemplo, tratar a pneumonia ou a insuficiência cardíaca congestiva. Se o derrame for grande, infectado ou inflamado precisará ser drenado para ajudar o paciente a se sentir melhor e evitar outras complicações.

Os procedimentos para o tratamento de derrames pleurais em si incluem vários procedimentos de extração do líquido acumulado.

Veja também sobre "Pneumonia na infância", "Pneumonia em adultos" e "Hipertensão pulmonar".

 

Referências:

As informações veiculadas neste texto foram extraídas principalmente dos sites da Cleveland Clinic e do NIH – National Institutes of Health.

Nota ao leitor:

As notas acima são dirigidas principalmente aos leigos em medicina e têm por objetivo destacar os aspectos mais relevantes desse assunto e não visam substituir as orientações do médico, que devem ser tidas como superiores a elas. Sendo assim, elas não devem ser utilizadas para autodiagnóstico ou automedicação nem para subsidiar trabalhos que requeiram rigor científico.

Comentários
Derrame pleural - conceito, causas, características clínicas, diagnóstico e tratamento | AbcMed